Reemplazo articular de rodilla

La rodilla es la articulación más grande del cuerpo y se requiere que se encuentre saludable para realizar prácticamente todas las actividades cotidianas. Tiene una superficie muy amplia recubierta por cartílago, que permite la libre movilidad de la patela y el fémur, así como también del fémur sobre la tibia. Habitualmente estas estructuras se mueven libremente y trabajan en armonía.

Sin embargo, el desgaste por lesiones del cartílago traumáticas, por envejecimiento (osteoartritis), por secuelas de fracturas o traumatismos, una mala alineación de la articulación o no resueltas en tiempo y forma, alteran dicha armonía en la función articular provocando de manera progresiva dolor, rigidez articular, debilidad muscular y disminución de la función.

Prótesis de rodilla en CDMX. En ocasiones el reemplazo protésico de la rodilla es la única solución cuando la articulación esta severamente dañada, lo que se traduce en una dificultad incrementada (discapacidad) para realizar actividades simples como caminar, estar de pie o subir las escaleras. Puede doler la articulación incluso al estar en reposo, ya sea sentado o acostado.

Se trata de la última opción de tratamiento resolutivo para problemas de desgaste articular en la rodilla.

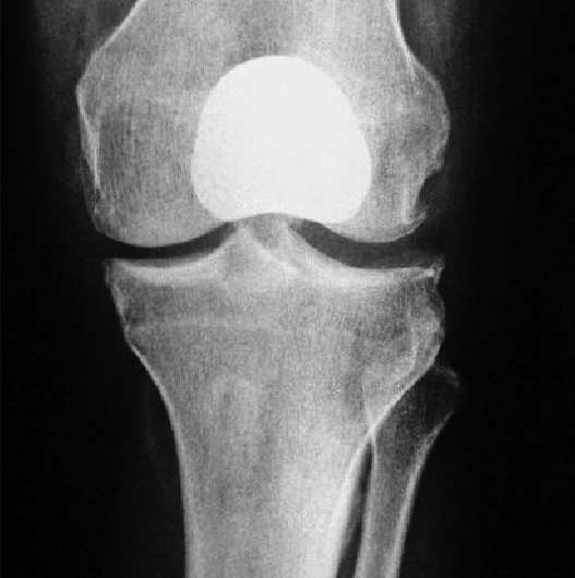
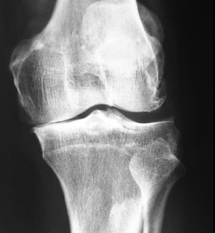
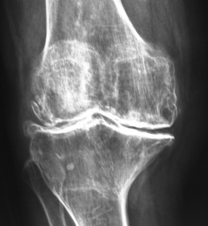
La principal causa del dolor crónico de la rodilla que condiciona discapacidad por desgaste articular es la osteoartrosis, sin embargo, la artritis reumatoide y el desgaste articular postraumático, son causas frecuentes de lesión del cartílago de manera extensa y acelerada.

  • La osteoartrosis es un tipo de enfermedad articular por uso, envejecimiento y desgaste relacionado con la edad. Habitualmente se presenta en personas mayores de 50 años.
  • La artritis reumatoide es una enfermedad sistémica que se caracteriza por inflamación crónica de las articulaciones, provocando que la membrana que las envuelve se engruese.
  • Habitualmente la inflamación crónica y el engrosamiento de los tejidos dañan al cartílago articular. El desenlace final es dolor, deformidad y rigidez de la articulación
  • El desgaste articular pos-traumático se presenta después de una lesión seria de la rodilla, en específico, fracturas del hueso y cartílago que conforman la articulación y lesiones de los ligamentos que estabilizan la articulación no resueltas o crónicas.

El reemplazo articular protésico de la rodilla consiste en el recambio de las superficies articulares del fémur, tibia y patela desgastadas y sin cartílago, por componentes metálicos que recrean la superficie de la articulación (tienen la misma forma) así como también la colocación de un espaciador de polietileno que permite crear una superficie de deslizamiento suave.

La decisión del reemplazo protésico de la rodilla se lleva al cabo entre el paciente y el médico tratante cuando:

  • El dolor de la rodilla limita de manera importante las actividades cotidianas como caminar, ponerse de pie, subir y bajar las escaleras.
  • El dolor de la rodilla no se calma con ninguna estrategia medica conservadora (medicamentos, terapia física).
  • El dolor de la rodilla es constante y lo despierta durante el descanso.
  • La rodilla se deforma con el paso del tiempo, aumentando la rigidez y la discapacidad.

Mas del 90% de las personas que se someten a un remplazo protésico de la rodilla experimentan una disminución drástica del dolor de la rodilla y una MEJORA en la función de la articulación.

PRÓTESIS TOTAL

PRÓTESIS UNICOMPARTIMENTAL

PRÓTESIS PATELO-FEMORAl

PRÓTESIS DE REVISIÓn

Habitualmente un reemplazo protésico de la rodilla permitirá realizar actividades normales como caminar, nadar, andar en bicicleta, bailar, conducir el auto y algunas otras actividades deportivas de bajo impacto. Es necesario hacer cambios en el estilo de vida con la finalidad de aumentar la vida útil de la prótesis y evitar complicaciones.

Es importante que el paciente mantenga un apego estricto a las indicaciones de su médico ortopedista y de terapia física para evitar complicaciones. Las principales complicaciones que se presentan en este tipo de tratamiento son: infección, formación de coágulos que pueden viajar por el cuerpo y afectar órganos importantes como el cerebro, corazón y pulmones, aflojamiento de los implantes y dolor continuo entre otros.

Debido a que es una cirugía ortopédica mayor, se requerirá un manejo multidisciplinario antes, durante y después de la cirugía, que involucra médicos internistas, anestesiólogos, angiólogos y en casos muy específicos médicos especialistas en cuidados intensivos e infectólogos.

Seguir las instrucciones del médico ortopedista después de la cirugía, tener el cuidado de proteger su reemplazo de rodilla y su salud general son maneras importantes en las que puede contribuir al éxito final de su cirugía. Se trata de una responsabilidad compartida entre el médico y paciente.

Ubicación de consultorios y forma de contacto

Ver más